Clinica Stomatologică Prodent Dr. Gruia – Excelență în Implantologie și Estetică Dentară
Un nou standard în stomatologie
Profesionisti alaturi de oameni, totul intr-un singur loc
``` Înlocuiești `TRACKING_KEY_NOU` cu key-ul din noul profil. **Pas 3:** Pentru pop-up-ul de signup, theMarketer livrează formularul automat prin scriptul de tracking. Nu ai nevoie de cod suplimentar. Dar dacă vrei să trimiți contactele și prin API (backup), endpoint-ul e: ``` POST https://t.themarketer.com/api/v1/add_subscriber?k=REST_KEY&u=CUSTOMER_ID
Salt la conținut
Profesionisti alaturi de oameni, totul intr-un singur loc
Măiestria tradițională se îmbină cu tehnologia de ultimă generație pentru a oferi stomatologie restaurativă cu rezultate naturale și beneficii de durată.

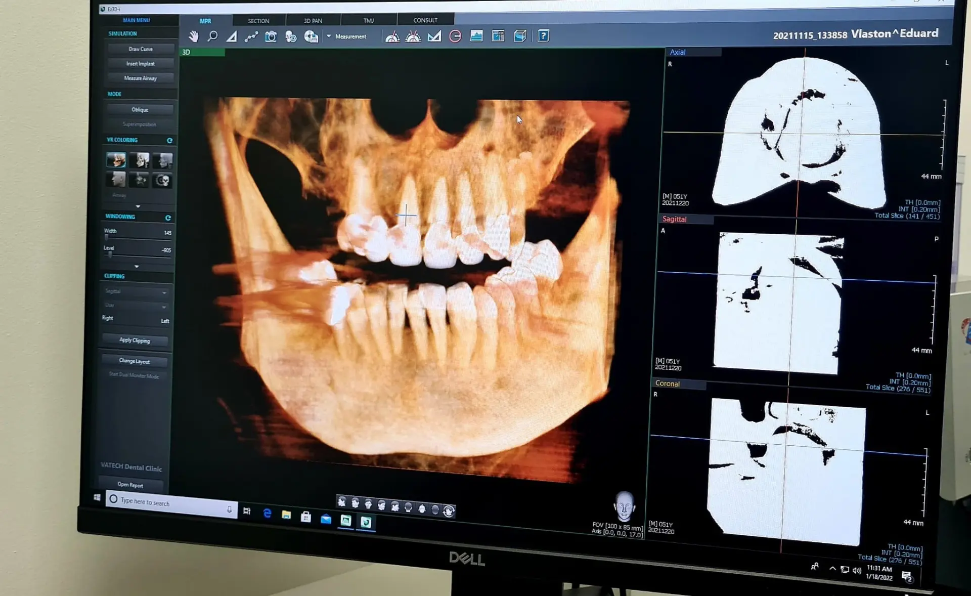
Cu o abordare personalizată în planificarea digitală a zâmbetului, Prodent Dr. Gruia combină tehnici stomatologice digitale și conventionale pentru rezultate precise și durabile. Fiecare tratament este proiectat astfel încât estetica dentară și funcționalitatea să fie în echilibru, oferind pacienților din Câmpina soluții moderne de reabilitare orală.

Dr. Gruia și echipa sa reunesc expertiza în implantologie dentară și estetica funcțională, într-o armonizare perfectă între tehnicienii de laborator și tehnica dentară digitală internă, susținute de aparatură modernă de ultimă generație. Prin planificare digitală și tehnologii de ultimă generație, fiecare implant stomatologic este integrat cu precizie, asigurând stabilitate, confort și un zâmbet natural, adaptat fiecărui pacient.

Prodent Dr. Gruia ridică standardele în estetica dentară modernă, prin soluții personalizate și tehnologii digitale avansate aplicate în stomatologia estetică actuală.Fiecare design de zâmbet este realizat digital, cu integrare foto și analiză facială, iar proporțiile dentare se armonizează cu fizionomia și expresia fiecărui pacient. Clinicile oferă servicii premium de estetică dentară, cu accent pe armonie și sanătate orală.






La Prodent Dr. Gruia, transformările dentare sunt realizate printr-o planificare atentă și utilizare a tehnologiei digitale. Fiecare caz clinic, fie de estetică dentară, fie de implant dentar, este tratat individual, pentru rezultate naturale și echilibru facial. Te așteptăm la clinicile din Câmpina și București pentru rezultate estetice naturale si functionale.
Fluorul este un mineral natural care ajută dinții să reziste mai bine atacurilor zilnice [...]
Citește mai multAlegerea unui implant dentar ridică întrebări firești. Vrei o soluție sigură, adaptată bugetului tău [...]
Citește mai multSănătatea orală influențează mult mai mult decât aspectul dinților. Ea are un impact direct [...]
Citește mai mult