Skip to content
Stomatologie generală | Implantologie
București +40 771 763 640
Câmpina +40 787 604 200
Stomatologie generală | Implantologie
București +40 771 763 640
Câmpina +40 787 604 200
Acasă
Cine suntem
Despre noi
Echipa
Clinici
București
Câmpina
Publicații media
Ce facem
Implant dentar București
Implant Dentar București
Implant Dentar Câmpina
Dinți ficși provizorii în 8 ore
Implant dentar Straumann
Implant dentar Nobel Biocare
Implant dentar Alpha Bio
Implant dentar Megagen
Sinus Lifting
Adiție de os
Protetică dentară
Proteză pe implant
Proteză dentară mobilă
Proteză dentară cu capse
Ortodonție
Aparat dentar fix
Aparat dentar metalic
Aparat dentar invizibil JUST
Estetică Dentară
Digital Smile Design
Coroane dentare
Coroana dentara din zirconiu
Fatete dentare
Chirurgie Dentară
Parodontologie
Igienizarea dentară
Stomatologie generală
Radiologie
Onorarii
Realizările noastre
Cazuri
Info Stoma
Programează o consultație
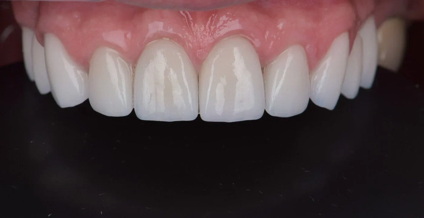
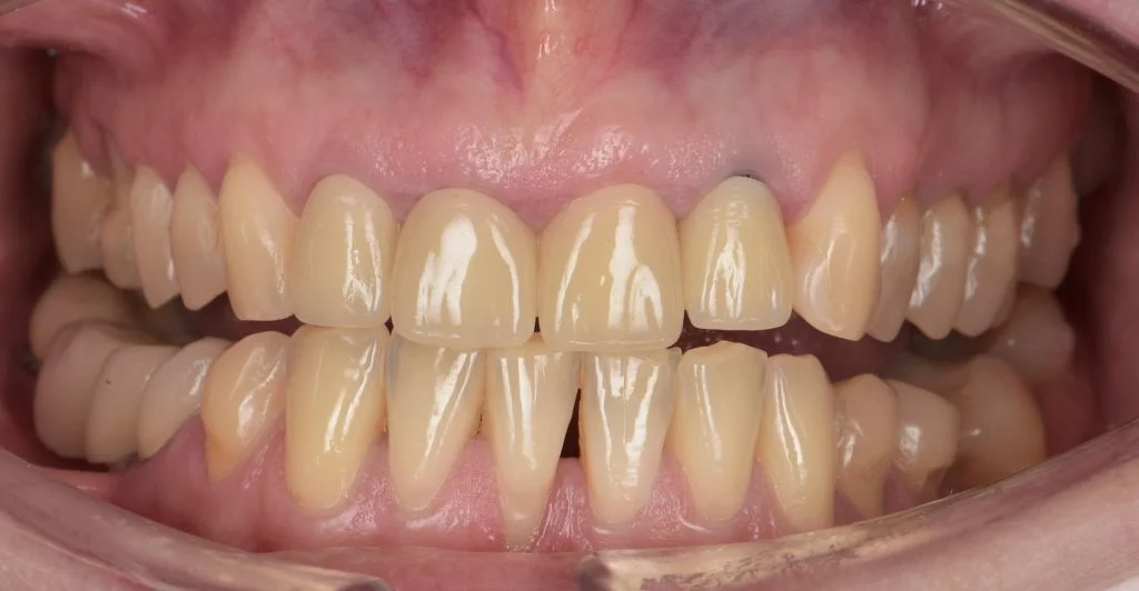
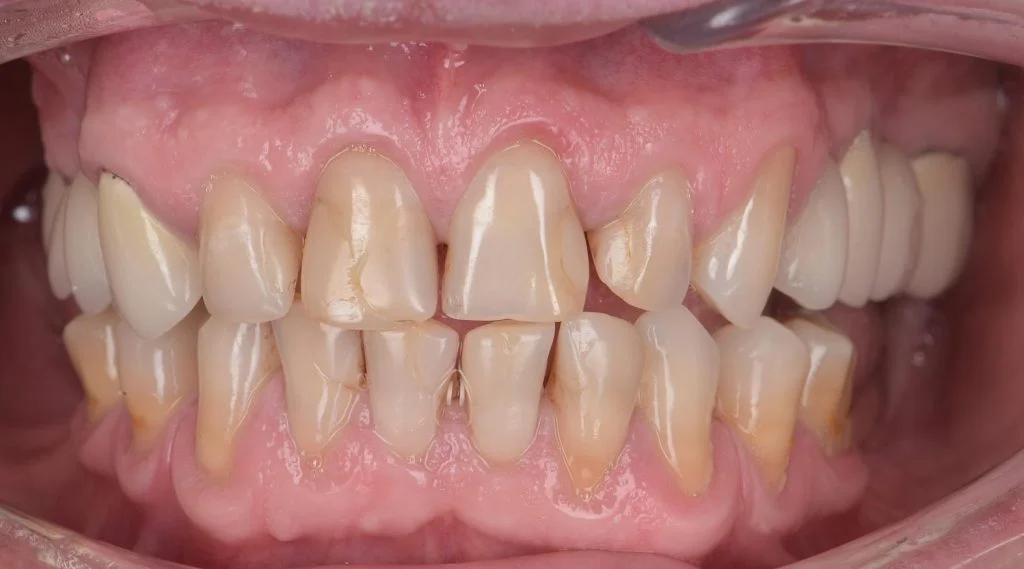
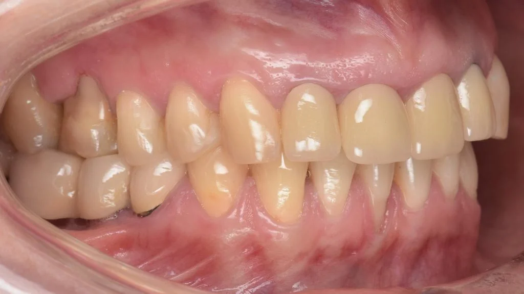
Cazuri – Digital Smile Design
Ai întrebări?
Contactează-ne, suntem bucuroși să îți răspundem!
Contactează-ne acum
Articole Relevante Publicate pe Blog
Estetică dentară
Cat costa fatetele dentare?
Citește mai mult
Estetică dentară
Cum se pun Fatetele Dentare?
Citește mai mult
Acasă
Cine suntem
Despre noi
Echipa
Clinici
București
Câmpina
Publicații media
Ce facem
Implant dentar București
Implant Dentar București
Implant Dentar Câmpina
Dinți ficși provizorii în 8 ore
Implant dentar Straumann
Implant dentar Nobel Biocare
Implant dentar Alpha Bio
Implant dentar Megagen
Sinus Lifting
Adiție de os
Protetică dentară
Proteză pe implant
Proteză dentară mobilă
Proteză dentară cu capse
Ortodonție
Aparat dentar fix
Aparat dentar metalic
Aparat dentar invizibil JUST
Estetică Dentară
Digital Smile Design
Coroane dentare
Coroana dentara din zirconiu
Fatete dentare
Chirurgie Dentară
Parodontologie
Igienizarea dentară
Stomatologie generală
Radiologie
Onorarii
Realizările noastre
Cazuri
Info Stoma