Implantologie
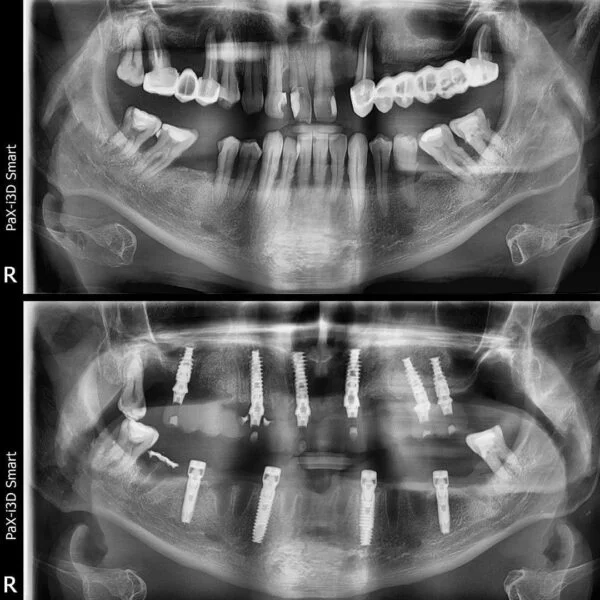
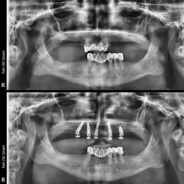
Implantul dentar este adesea recomandat deoarece prezintă foarte multe avantaje, iar, de multe ori, este unica soluție pentru protezarea unei edentații.




























Implantul dentar este adesea recomandat deoarece prezintă foarte multe avantaje, iar, de multe ori, este unica soluție pentru protezarea unei edentații.

Fațetele dentare sunt construcții protetice unidentare, reprezentate de o foiță fină de ceramică realizate prin tehnologia CAD-CAM.

Chirurgia orală include toate tratamentele chirurgicale limitate la nivelul cavității orale ce sunt compatibile cu tratamentele de chirurgie dentară.

Cum te poți asigura că vei căpăta zâmbetul mult dorit? Tehnologia Digital Smile Design are răspunsul! Iată rezultatele:

Ortodonția este specialitatea care se ocupă cu îndreptarea poziției dinților, reglarea ocluziei (mușcăturii) și a rapoartelor dintre cele două maxilare.
