Știi acele pete galbene care îți pot apărea pe dinți chiar și după ce te speli corect? Sau poate ai observat că gingiile tale sângerează ușor când te speli pe dinți? Ei bine, tartrul dentar ar putea fi vinovatul! Nu este un subiect plăcut, dar este foarte important să înțelegem cum influențează sănătatea noastră orală […]
Arhivele categoriei: Estetică dentară
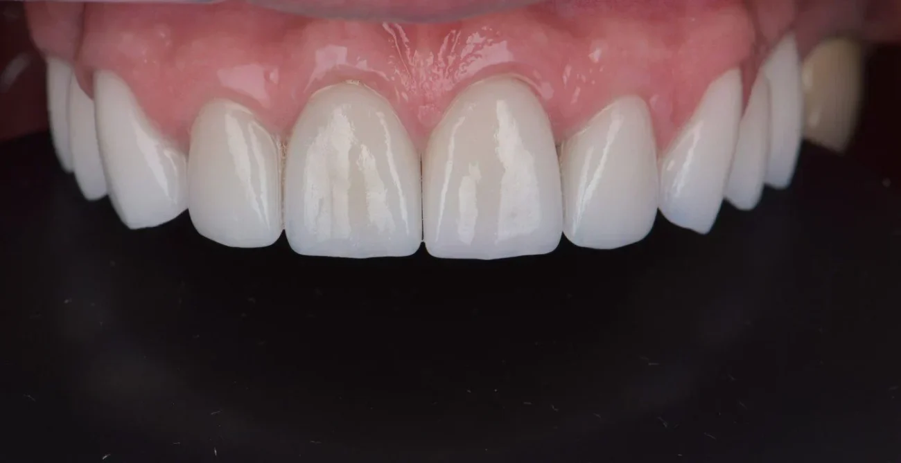
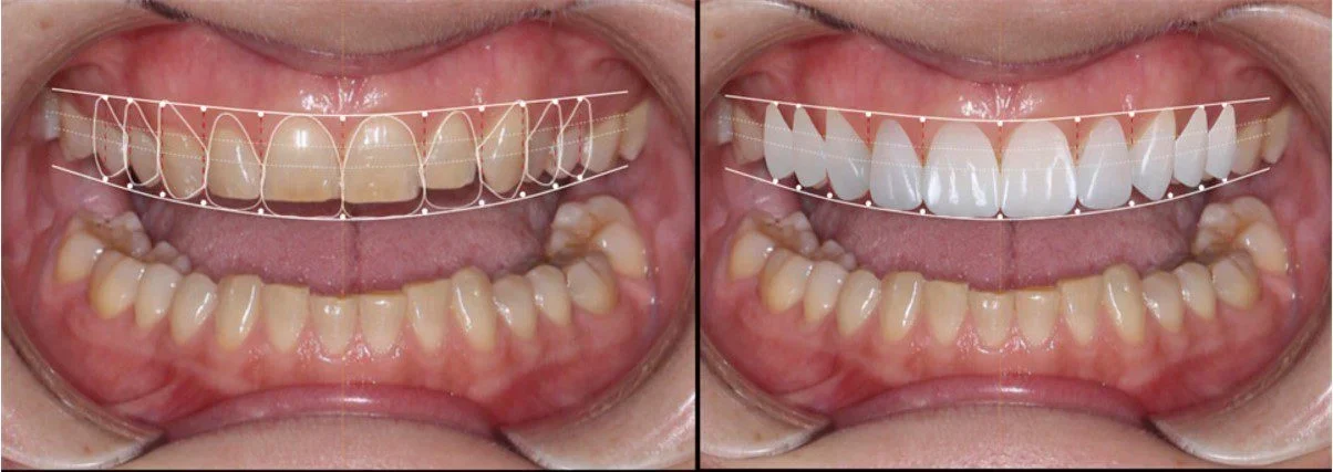
Visezi la un zâmbet impecabil, alb și perfect aliniat, dar fără a compromite structura dintelui tău natural? Fațetele dentare fără șlefuire (NO PREP) sunt soluția revoluționară care permite obținerea unui zâmbet de Hollywood fără durere, fără pierdere de smalț dentar și fără disconfort. La Clinica ProDent Dr. Gruia, utilizăm cele mai avansate tehnologii pentru a […]



