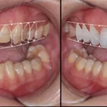
Visezi la un zâmbet impecabil, alb și perfect aliniat, dar fără a compromite structura dintelui tău natural? Fațetele dentare fără șlefuire (NO PREP) sunt soluția revoluționară care permite obținerea unui zâmbet de Hollywood fără durere, fără pierdere de smalț dentar și fără disconfort.
La Clinica ProDent Dr. Gruia, utilizăm cele mai avansate tehnologii pentru a oferi pacienților noștri soluții moderne și personalizate de estetică dentară.
Descoperă în acest articol tot ce trebuie să știi despre fațetele dentare fără șlefuire, avantajele, indicațiile și contraindicațiile acestora, dar și cele mai frecvente întrebări pe care le primim de la pacienți.
Știai că…
- 75% dintre adulți consideră că un zâmbet frumos poate influența succesul personal și profesional.
- Aproximativ 40% dintre pacienți care optează pentru tratamente estetice dentare sunt interesați de soluții pentru îmbunătățirea aspectului dinților.
- Variantele moderne fără șlefuire pot fi aplicate rapid, uneori chiar într-o singură vizită.
- Studiile arată că dinții mai albi pot face o persoană să pară cu până la 5 ani mai tânără.
Ce sunt fațetele dentare No-Prep?
Fațetele dentare no-prep sunt foițe extrem de subțiri din ceramică de înaltă calitate, create special pentru a fi aplicate direct pe dinte, fără a fi nevoie de șlefuire sau reducere a smalțului.
Spre deosebire de metodele tradiționale, unde dintele trebuie pregătit prin frezare, acest tip de fațete sunt complet minim invazive și mențin structura naturală a dintelui.
Aceste fațete sunt atât de subțiri încât transparența lor imita perfect aspectul dintelui natural, oferind un rezultat natural, luminos și armonios.

Când merită să optezi pentru zâmbetul perfect cu fațete ultra-subțiri?
Acest tip de tratament este ideal pentru pacienții care:
- Au dinți ușor decolorați care nu pot fi albiți eficient prin metode tradițonale.
- Vor să corecteze mici imperfecțiuni de formă sau dimensiune ale dinților.
- Prezintă spații interdentare mici, pe care doresc să le acopere.
- Doresc un zâmbet mai armonios fără tratamente invazive.
- Vor o soluție rapidă și confortabilă pentru un zâmbet perfect.
În ce situații nu sunt potrivite fațetele ultra-subțiri?
Fațetele dentare no-prep NU sunt recomandate în cazurile:
- Malocluziilor severe sau problemelor ortodontice majore.
- Dinților foarte erodați sau cu smalț extrem de subțire.
- Bruxismului sever (scrâșnirea dinților), care poate cauza deteriorarea rapidă a fațetelor.
- Dinților cu carii mari sau plombe extinse, unde este nevoie de restaurare complexă.

Zâmbet perfect fără intervenții agresive – avantajele no-prep
- Nu necesară șlefuirea dintelui – se menține structura naturală a dintelui.
- Procedură nedureroasă – nu este nevoie de anestezie.
- Rezultate rapide – zâmbet impecabil într-un timp foarte scurt.
- Durabilitate crescută – rezistă în timp până la 15-20 de ani.
- Aspect natural – materialele utilizate imita perfect smalțul dentar.
Fațete dentare cu pregătire VS Fațete dentare no-prep
| Caracteristică | Fațete No-Prep | Fațete cu Pregătire |
|---|---|---|
| Șlefuirea dintelui | Nu necesară | Necesită reducerea smalțului |
| Durere | Fără durere | Posibil disconfort |
| Durata tratamentului | Rapid, uneori o singură vizită | 2-3 vizite |
| Reversibilitate | Da | Nu |
| Durabilitate | Până la 20 ani | Până la 20 ani |
Răspunsuri la cele mai frecvente întrebări despre transformarea zâmbetului
- Cât timp rezistă aceste restaurări dentare no-prep?
Ele pot avea o durată de viață între 10 și 20 de ani, cu o îngrijire adecvată. - Sunt reversibile?
Da, fiind aplicate fără a șlefui dintele, acestea pot fi îndepărtate dacă este necesar. - Necesită ele o îngrijire specială?
Nu, dar este recomandată o igienă orală riguroasă: periaj corect, ață dentară și vizite regulate la dentist. - Pot corecta probleme ortodontice majore?
Nu, acestea sunt destinate corectării unor imperfecțiuni minore. Problemele ortodontice severe necesară tratament ortodontic. - Sunt recomandate pentru toate vârstele?
Da, dar sunt recomandate doar adulților, deoarece dinții tinerilor pot fi încă în dezvoltare.

Suntem activi pe TikTok!
Dacă vrei să afli mai multe despre fațetele dentare, implanturi, albire dentară și alte tratamente estetice moderne, urmărește-ne pe TikTok!
Postăm frecvent videoclipuri educative, sfaturi utile și transformări spectaculoase ale zâmbetelor pacienților noștri.
Alătură-te comunității noastre și descoperă secretele unui zâmbet perfect!
@prodentdrgruia Cat de rezistente sunt fatetele dentare – iata una dintre cele mai frecvente intrebari ale pacientilor care doresc o reabilitare estetica a zambetului. Aflati raspunsul de la colegul nostru, 👨⚕️dr. Bogdan Branescu
Programează-te pentru un zâmbet perfect!
Dacă îți dorești un zâmbet alb, armonios și natural, fără disconfort sau sacrificarea smalțului dentar, fațetele dentare no-prep sunt soluția potrivită!
La Clinica ProDent Dr. Gruia, specialiștii noștri îți pot transforma zâmbetul folosind tehnologii de ultimă generație.
📅 Programează-ți acum consultația pentru un zâmbet impecabil!
Ne găsești la:
📍 Prodent Dr. Gruia București
Adresă: Str. Henri Coandă, Nr. 31A, Sector 1, București
Telefon: 0771.763.640
📍 Prodent Dr. Gruia Câmpina
Adresă: Bd. Carol I, nr. 64, Bl. 17B, Parter, Câmpina, PH
Telefon: 0787.604.200
Surse și Referințe
- Healthline: No-Prep Veneers: Benefits, Precautions, and Alternative Treatments
- Colgate: Porcelain Vs. Prepless Veneers
- WebMD: Dental Veneers: Porcelain Veneer Uses, Procedure, and More
- Verywell Health: What You Need to Know Before Getting Dental Veneers
- Healthline: Veneers vs. Lumineers: Pros, Cons, What to Know


Articole similare: